
Evaluación 1 grupo 2 (5 puntos)
Quiz by Diana Martinez
Feel free to use or edit a copy
includes Teacher and Student dashboards
Measure skillsfrom any curriculum
Measure skills
from any curriculum
Tag the questions with any skills you have. Your dashboard will track each student's mastery of each skill.
With a free account, teachers can
- edit the questions
- save a copy for later
- start a class game
- automatically assign follow-up activities based on students’ scores
- assign as homework
- share a link with colleagues
- print as a bubble sheet
5 questions
Show answers
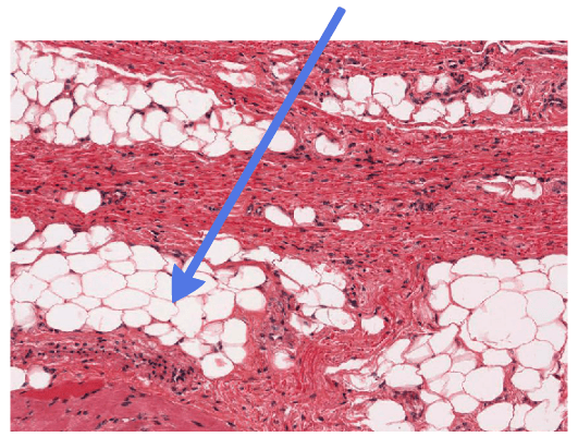
- Q1¿Cuál es la clasificación correcta para el tejido señalado con la flecha?Tejido conectivo laxo adiposo unilocular.Tejido conectivo laxo adiposo reticular.Tejido conectivo laxo adiposo multilocular.Tejido conectivo laxo adiposo fibroso.60s
- Q2¿Cuál es la clasificación correcta para el tejido señalado con la flecha?Tejido conectivo denso reticular.Tejido conectivo denso irregular.Tejido conectivo denso regular.Tejido conectivo laxo aerolar.60s
- Q3¿Qué epitelio permite más facilmente el transporte de nutrientes desde la región apical al interior de las células epiteliales?Epitelio estratificaco de transición.Epitelio pseudoestratificado ciliado.Epitelio simple plano o escamoso.Epitelio estratificado cúbico queratinizado.60s
- Q4¿Cuál de las siguientes opciones NO corresponde a una característica de las células epiteliales?Su superficie basal está adherida a una membrana basal subyacente.Adheridas entre si por medio de uniones celulares.Están vascularizadas.Dispuestas muy cerca unas de otras.60s
- Q5¿Cuál de las siguientes células No corresponde al tejido conectivo?Macrófago.Eritrocito.Granulocito.Fibra muscular.60s
